Quiste hepático V/S MAV

 

Antecedentes:

Paciente Sexo Femenino, 75 Años, Obesidad. Dolor Abdominal difuso de larga data. No aporta mayores antecedentes clínicos.

 

 

 

DESCRIPCIÓN:

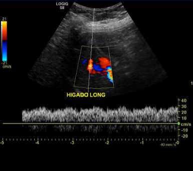
  • LESIÓN HEPÁTICA, MULTILOBULADA, ANECOGÉNICA CON REFUERZO POSTERIOR EN EL LÓBULO DERECHO.

  • VASCULARIZADA AL DOPPLER COLOR

  • EN DOPPLER ESPECTRAL, PRESENTA FLUJO TURBULENTO, PRINCIPALMENTE ANTERÓGRADO, QUE SUGIERE PROVENIR DE UNA RAMA DE LA VENA PORTA.

  • VENA PORTA NO PRESENTA ANOMALIAS

INFORME: