Antecedentes: Paciente sexo femenino, presenta dolor en cara lateral de cadera derecha y nódulo palpable en cara anterior de muslo proximal derecho de larga data con antecedente de traumatismo local, asociado a meralgia parestésica intermitente.










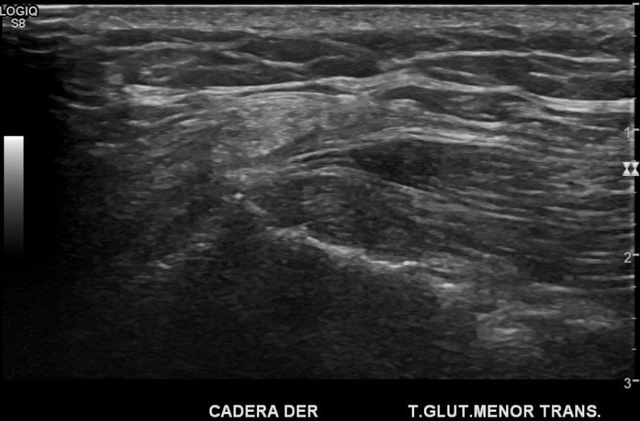
Hallazgos: En relación a la lesión palpable se observa engrosamiento nodular fusiforme del nervio cutáneo femoral lateral, hipoecogénico, sin flujo detectable al power doppler. Además, se observa heterogeneidad y engrosamiento del tendón glúteo menor, sugerente de neuroma y tendinosis del glúteo menor.