Saltar al contenido
Menú
HOME
NOSOTROS
EQUIPO
INTRANET
Registro de usuario
Ingresar – Editar perfil – Cerrar sesión
SOCIOS E INSCRIPCIÓN
Tipos de Socios e Inscripción
Listado Socios
HAZTE SOCIO
CASOS CLÍNICOS
COMPARTE TU CASO CLÍNICO
CABEZA Y CUELLO
Cara
Cráneo
Tiroides
ABDOMEN Y RETROPERITONEO
Hígado
Vesicula biliar
Pancreas
Riñón
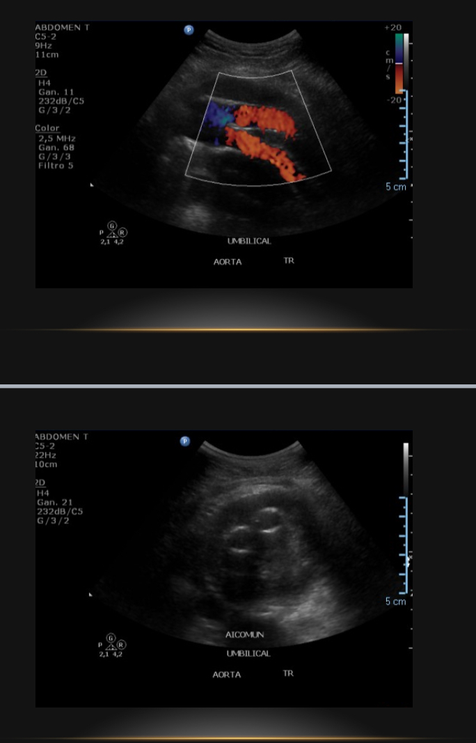
Grandes vasos
SISTEMA NERVIOSO
SISTEMA URINARIO
Vejiga
TORAX
Pared torácica
MÚSCULO ESQUELÉTICO
Codo
Muñeca
Mano – Dedo
Cadera
Muslo
SISTEMA VASCULAR
Vasos periféricos
CURSOS Y CONGRESOS – OTROS
CURSOS Y CONGRESOS
Videos Charlas
ENLACES DE INTERÉS
NOTICIAS
CONTACTO
Endoprótesis aortoiliaca