ANTECEDENTES:
Paciente masculino, 65 años, consulta por hematuria y disuria en estudio. Sin antecedentes de HPB.
Diabetes y HTA en tto.




HALLAZGOS:
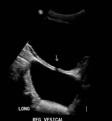
Leve irregularidad de bordes vesicales. En su lumen, se observan múltiples pequeños cálculos móviles a los cambios de posición, que no obstruyen unión ureterovesical distal. Se observa además gran divertículo vesical con cuello que demuestra flujo urinario bidireccional, en donde también se observan múltiples pequeños cálculos móviles a los cambios de posición.
Aumento moderado del volumen prostático.
Marcado aumento del volumen de residuo postmiccional.
*Se mide pre y post micción a nivel de vejiga, vejiga + diverticulo y diverticulo.